本文来自AI新媒体量子位(QbitAI)

IBM的人工智能继续在健康领域实践探索。
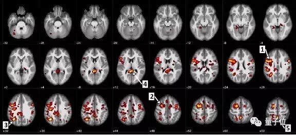
最近,IBM和阿尔伯塔大学联手进行了一项开创性的研究,使用简单的MRI(磁共振成像)扫描加一个神经网络,就能通过大脑的血流情况,来诊断神经分裂是否会发病,以及症状的严重程度。
这个研究团队,首先使用95份匿名fMRI(功能性磁共振成像)图片训练神经网络,这个数据集包括精神分裂患者和健康对照组。这些图片反映的是完成简单的音频联系后,脑内血液流动的情况。最后这个网络分辨患者和对照组的准确率达到74%。

“我们已经在大脑中发现许多异常连接,未来会进行进一步的探索研究”,阿尔伯塔大学教授Serdar Dursun说,AI创建的模型得以让研究人员更进一步。
这个模型还能预测症状的严重程度,而这可以用来制定更为有效的治疗方案。
另外还有一件事,IBM今天还在沃森服务器中增加了一个新功能:Tone Analyzer for Customer Engagement,客户互动音调分析。
这个功能可以通过检测人的声音,让人工智能可以检测出相应的情绪:沮丧、满足、兴奋、礼貌、悲伤、同情……等等。

这个音调分析功能最初的训练,使用了Twitter的客服数据。未来IBM预计企业客户可以使用这个功能来监控客服对话,挺高服务质量。
尤其是当你把客服中心放在印度的时候,客服专员可能无法很好的理解客户的语音,或者通话质量不是太好等等……而音调分析功能可以帮助客服判断来电客户的情绪,生气或沮丧,即便客服没有完全听懂客户到底在说些什么。
至少能让客服采取更有针对性的回应方式。
目前这个功能已经上线,并且提供免费试用的机会。
【完】
本文作者:允中
原文发布时间:2017-07-21