相比于直接解决效率的应用产品,一些对临床工作流程改变较大,就需要收集一定的数据后再对市场教育才可以推开。
因为人工智能的出现,越来越多的产业开始搭上这列“顺风车”。与此同时,针对现有行业中的某些问题,一些创业者也瞄准方向开始了自己的“漫漫长征路”。
比如医疗行业,智能医学影像分析、医疗数据管理、手术机器人……越来越多的医疗服务变得“智能化”。在过去的两年内,“智能医疗”也成为一个颇受关注的市场与变革。

深度学习+医疗有着巨大潜力,而创业公司比医院等机构更能适应变革
对于为什么创业这回事儿,体素科技创始人兼CEO丁晓伟用“简单的不可想象”来形容。
“我博士期间的研究方向始终是医学影像分析和计算机视觉,正好经历了深度学习的崛起,在当时还没有用于医学影像分析。”丁晓伟表示。
在当时的他看来,深度学习在医学领域有着巨大的潜力,可以在第一时间将最先进的人工智能技术用于医学影像的分析。
另外,鉴于学校和医院等大型机构不够灵活,难以在极短时间内完全适应新型研究方法,丁晓伟最终决定走出来,并于2015年开始筹备,2016年正式成立了现在的“体素科技”。
对于彼时的智能医疗市场,丁晓伟称:“在我们刚刚成立和融资时,业界和投资领域还很少有人思考这个领域,可以说时机还没有成熟。但之前已经得到临床认可的大量工作依然可以具象的把前景呈献给合作者和投资人,也为后期在该领域得到共识后的竞争打下基础。”
目前,体素科技的团队有50多人,在这方面,为了保持灵活和创新机制,体素科技一直是有意控制着。“由于AI医疗是个新兴领域,大量的应用还未被开发,甚至未被定义,我们团队是研发为主的,占到80%以上。”

眼底全病种筛查产品
国内外部署同步进行,打造以影像为中心的诊断分析解决方案
丁晓伟称,体素科技的使命就是“让诊断触手可及”。在其看来,最好的医疗是提前或是及时发现病症并干预,不过由于成本和资源分布不均等因素,许多患者在没有能够及时诊断和干预的情况下错过了最佳时机。
“体素科技就是想让诊断资源和获得的门槛降到最低,让平等的医疗诊断资源遍布各个地区。同时,在医院中,我们强调的是对临床工作流程的优化。”他表示。
眼下,基于大量的深度访谈和统计数据,体素科技为医院和体检中心提供针对影像类型的智能阅片解决方案,自动诊断和撰写影像视野可见范围内的所有异常,譬如胸部CT、心脏冠脉造影CT等。
我们注意到,在成立之初,体素科技就在中美分别设立了办事地点。丁晓伟表示,在美国设立的研究员以底层方法论的研究为主,通过与美国医生和著名医学机构的深度合作,获得创新的临床工作流程设计。
此外,鉴于中美病人在疾病亚型分布上的不同,分别设立办事地点的做法可以实现有效的互补,让算法平衡的学到所有类型的疾病。
众所周知,医疗向来是一个敏感度较高的行业,尤其是患者隐私的部分。对于获得数据。通过与医疗机构的合作,体素科技获得了高质量的的训练数据。而对于“安全与隐私问题”,
“我们通过正式参与科研项目和医院合作,使用严格的HIPPA数据隐私和安全保护标准。有些合作机会是要求数据不出医院的,那我们就会在医院内使用这批数据。”丁晓伟表示。
在创业之初,丁晓伟与体素科技就是以智能医疗影像分析来切入时长。对于今后的产品,丁晓伟将之定位为“以影像为中心的诊断分析解决方案”。“我们利用电子病历,生化检查和基因测序数据,同时从宏观和微观尺度,时序变化等多个角度对病人进行分析和预测。”

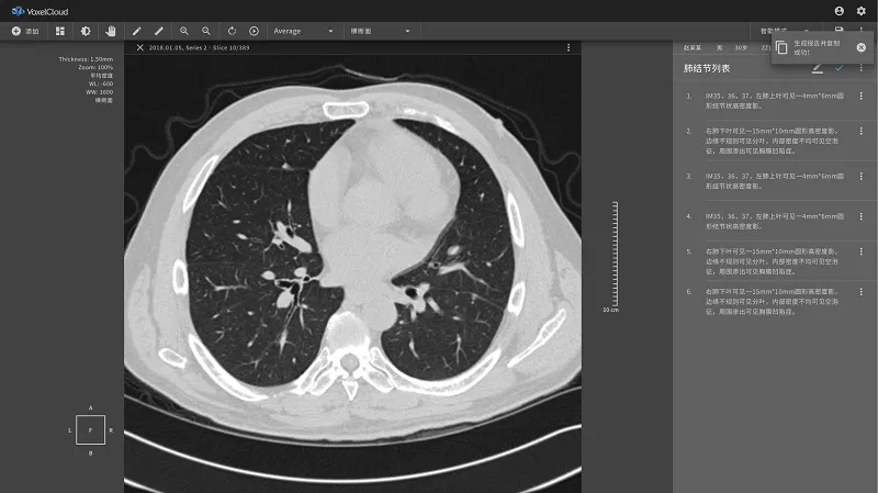
肺癌筛查产品
国内起步稍晚但发展迅速,产品普及还需更多临床数据与市场教育
丁晓伟表示,国内的智能医疗技术起步晚但发展迅速,现在国内外的平均水平是接近的。
不过,我们所需要注意的是,相比于国外,国内医生在工作更忙,所以相对而言在对新型临床工作流程的了解上,他们放的精力会少一点,但他们又是最能收益AI的。
在智能医疗领域,不管是算法的训练,还是现实应用,“数据”都担任着极其重要的地位与职责。
在智能医疗领域,“数据是很多,但获取门槛很高,即使获取了,大部分情况下也不能按照原样使用,需要在经过一轮或者多轮精细标记和加工后才能使用。”丁晓伟表示。
而以体素科技为例,他道出了针对这种问题的解决措施。“体素致力于研发只使用弱标记的医学影像训练算法,直接通过报告语言描述来推断病灶的类型和大概位置,从而在未经人工标记的影像上进行模型训练,用数量弥补标记的精细度问题,从而免除对数据的人工加工。并且尽量使用主动学习和迁移学习来减少标记数据的需求量。”
据相关数据显示,国内医疗市场在2016年已达到96.61亿元,估计2017年超130亿元,并有望在2018年市场规模达到200亿元。
从过去两年的情况来看,在国内的智能医疗环境中,用丁晓伟的话说,诸如肺癌CT筛查的解决方案等直接解决效率问题的应用普及门槛相对较低,也没有用户学习和培养的过程,因此在国内的普及度较高。
不过,他也提到,像一些对临床工作流程改变较大,甚至使用了全新生物标志物的产品,就需要一定的临床证据收集后对市场教育才可以推开。

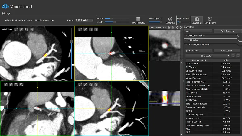
冠脉CT产品
结语
截止2017年10月,体素科技已陆续完成联创投资、红杉资本和腾讯数千万美元天使轮、A轮融资和A+轮融资。其中,值得注意的是,腾讯被国家选定为建设医疗影像国家新一代人工智能开放创新平台。
“大公司涉足影像AI领域有人力和资源上的巨大优势。我们是腾讯投资的企业,腾讯负责建设国家医疗影像国家人工能开放创新平台,我们之间也有相应的配合。”丁晓伟称。由此,在这这一尚未成熟的市场,他们将能够实现更多的互补。
同时,他也补充道,面对市场竞争,基于团队长年的研究积累和对临床工作流程的深入理解,体素科技对临床工作流程的改变大于普通工具类产品,也更能得到业界的认可。另外,鉴于其产品线并没有铺的特别广,也有利于他们在单个产品线投入和数据量方面做到世界前列。